No dia 10 de janeiro, a influenciadora Isabel Veloso morreu aos 19 anos. Ela lutava contra um linfoma de Hodgkin, diagnosticado em 2021. Sua partida precoce comoveu o Brasil e acendeu um alerta para esse tipo de câncer, que tem origem no sistema linfático.

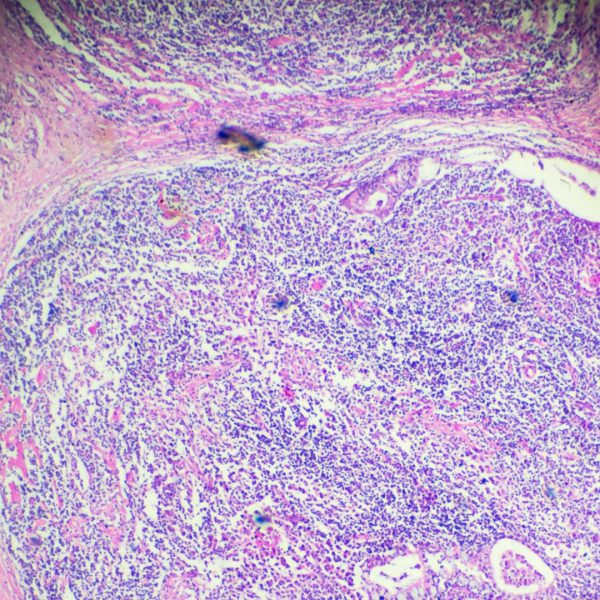
A dra. Natália Sebben, médica patologista, explica que o “linfoma de Hodgkin é um câncer do sistema linfático – rede de linfonodos e vasos que participa da defesa do organismo. Ele se diferencia de outros linfomas por características bem definidas observadas ao microscópio”.
Quais são os principais sintomas
O achado mais comum é o aumento dos linfonodos (ínguas), que geralmente é indolor e pode surgir no pescoço, acima da clavícula, nas axilas ou no mediastino (região central do tórax).
“Além disso, alguns pacientes apresentam febre persistente sem explicação, suor noturno intenso e perda de peso significativa (tipicamente superior a 10% em cerca de seis meses). Cansaço e coceira generalizada também podem ocorrer”, alerta a dra. Natália Sebben.

Como é feito o diagnóstico
O diagnóstico não é estabelecido apenas por exames de sangue ou de imagem. O padrão-ouro é a biópsia do linfonodo — idealmente excisional, quando possível — com avaliação anatomopatológica e, muitas vezes, imuno-histoquímica para a caracterização do subtipo. “Essa confirmação é decisiva, porque o aumento de linfonodos pode ter diversas causas, como infecções, doenças autoimunes e outros tipos de câncer”, destaca a médica patologista.
Após o diagnóstico, o próximo passo é o estadiamento, que descreve o grau de disseminação da doença. Ele geralmente combina exame clínico, tomografia e/ou PET-CT, além de exames laboratoriais, conforme cada caso.
“O tratamento depende do subtipo e do estadiamento, mas, de forma geral, envolve quimioterapia combinada e, em alguns cenários, radioterapia – especialmente em doença localizada ou de acordo com a resposta observada nos exames de imagem. Em casos mais avançados ou de maior risco, estratégias terapêuticas modernas podem ser consideradas em contextos selecionados, conforme diretrizes e protocolos”, explica.

“A boa notícia é que o linfoma de Hodgkin é considerado um dos cânceres com maiores taxas de cura, inclusive em muitos casos avançados, quando tratado de forma adequada e no tempo certo”, ressalta.
Quando procurar avaliação médica
Deve-se procurar atendimento médico se houver linfonodo aumentado por mais de duas a quatro semanas sem causa aparente, especialmente se estiver associado a febre persistente, suor noturno ou perda de peso, ou ainda se houver falta de ar ou tosse por compressão mediastinal. “O diagnóstico precoce ajuda a definir melhor o estadiamento e pode reduzir a necessidade de tratamentos mais intensos do que o necessário”, conclui.
SebbenMed
Rua Teixeira Soares, 530, Centro de União da Vitória/PR – Telefone: (42) 99113-8787
Instagram: @sebbenmed















